First of all I have to say thank you for all the sweet comments you leave about my blog - they really make a girl feel good!
Today I am 24 weeks pregnant with the twins!
We had an appointment with Dr. Drake this morning and it went great. The best news is that the babies are both growing right on track. Ainsley is 1 lb 7 oz and Benson is 1 lb 11 oz. We are so grateful Benson is growing so well since that is the main concern now with his two vessel cord. It was really a rather quick visit and Dr. Drake said everything looks great. We did talk about my eating habits briefly and she said I shouldn't be eating during the night which I do somewhat frequently. Last night I had Honey Smacks at about 2am though I just told her it was cereal, leaving out the fact that the cereal I chose probably had about a million grams of sugar. And thank goodness Jeremy didn't mention all the chocolate cake I had been eating in the middle of the night!
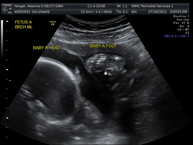
Here are a few ultrasound pictures from today:
This is Ainsley in some sort of acrobatic position that made Jeremy squirm (he can't touch his toes).
This is Ainsley kicking Benson in the head:
Here is Benson sitting on Ainsley's head:
And Benson returning the head shot to Ainsley:
Lastly, here they are putting their heads together (plotting against Mom and Dad I'm sure:
Tomorrow is our regular OB visit and my glucose screening. I'm so hoping that goes well!
After our appointment we went out to Jordan Creek and walked around awhile. I tried on some shoes at Aldo, or I should say I TRIED to try them on. My feet were so swollen I couldn't get a darn thing on! This was a major bummer since there were tons of good shoe sales today! Oh, well, probably better on my bank account anyway.
I have been feeling pretty good this past week and have really enjoyed having a little mini-vacation. I took Friday and Monday off giving me five days total off work. I'm starting to have a lot of hip pain especially at night/in the morning. I do sleep with a pillow between my legs but I still wake up feeling about 80 years old.
This past Sunday we went to a Chicago Cubs game - my first ever MLB game! It was a really good time and we were in the shade so it wasn't even too hot.
While it was great that the Cubs won 5-4 in the 10th, this was probably the best part of the game:
I hope you all have a great week!
Tuesday, July 26, 2011
Subscribe to:
Post Comments (Atom)





No comments:
Post a Comment